[ad_1]
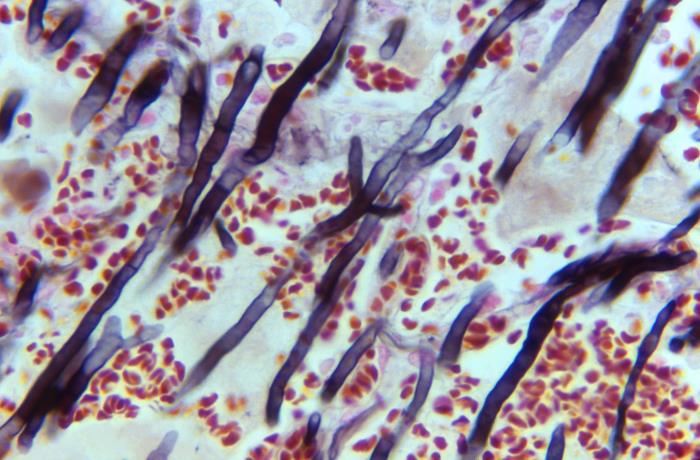
Under a magnification of 500X, this methenamine sliver-stained lung tissue specimen, revealed numerous darkly stained filaments of an Aspergillus sp. fungal organism, in a case of aspergillosis.
Image credit: CDC

Invasive pulmonary aspergillosis (IPA) is a fungal infection caused by breathing spores from Aspergillus, a common mold.1 IPA has been primarily associated with patients with severe immunodeficiency or lung diseases, but its incidence is increasing among those outside of these health parameters.1,2 However, it has not been widely studied in nonneutropenic patients with IPA. This patient population often presents with atypical clinical manifestations which can lead to missed or delayed diagnoses, and lead to higher mortality rates.2
With this in mind, a group of Chinese investigators wanted to examine the characteristics and mortality risk factors associated with IPA in this patient population. They also looked to develop a prognostic model to enhance the management of nonneutropenic patients with IPA.2
Study Specifics and Results
This was a small, retrospective study that looked at 151 nonneutropenic patients with IPA in seniors with a majority being male (60%). In terms of the patient profile, nearly 40% had a smoking history, and 39% required treatment in the ICU. For symptoms, 88% presented with shortness of breath, cough 86% and chest tightness 74%. Existing health conditions included respiratory disease (60.3%), diabetes (59.6%), and hypertension (45.7%). Severity scores showed high illness. The most common fungal species were Aspergillus fumigatus (72 patients), A flavus (36 patients), A. terreus (29 patients), and A niger (14 patients).2 For treatment, 94% of the patients received antibiotics, 95% received voriconazole, and 72% received glucocorticoids.2
The investigators found differing characteristics in infections.
“Significant differences were observed among infection types, with A flavus showing higher CURB-65 and APACHE II scores as well as increased rates of respiratory distress, bilateral lung involvement, and diabetes,” they wrote.2
In the univariate analysis, patients who expired had lower PaO2/FiO2 ratios and higher severity scores (CURB-65, SOFA, APACHE II), inflammatory markers, and rates of organ failure, ICU admission, respiratory distress, and bilateral lung involvement. Multivariate analysis found the following for significant mortality predictors: glucocorticoid use, ICU admission, and PaO2/FiO2 ratio as significant mortality predictors.2
“This study identified key clinical characteristics associated with mortality in non-neutropenic IPA patients and developed a robust prognostic model incorporating glucocorticoid use, ICU admission, and the PaO2/FiO2 ratio. This model demonstrated a strong predictive capability and could serve as a valuable tool for clinicians to identify high-risk patients and to optimize their management,” the investigators concluded.2
References
1.Aspergillosis Basics. CDC April 24, 2024. Accessed January 30, 2025.
https://www.cdc.gov/aspergillosis/about/index.html
2. Liu, F., Chen, W., Qi, H. et al. Clinical characteristics and prognosis of patients treated as invasive pulmonary aspergillosis outside of severe immunosuppression. Sci Rep 15, 3379 (2025). https://doi.org/10.1038/s41598-025-87605-4
[ad_2]
Source link